大人の矯正治療について
![]() |
||
|
|
|
| 小児矯正、成人矯正の両方をおこなっております。お子様の歯並びの治療は、顎の成長も含めバランスのとれた咬み合わせを作っていくことに力を入れております。成人矯正については、一般的な矯正装置から、審美性の高いセラミック矯正装置、裏側矯正、マウスピース矯正、部分矯正など患者様のご希望に合わせて幅広い治療を行っております。また、コミュニケーションを大切にし、患者様と一緒に歯の健康の向上に努めておりますので、気軽にご相談ください。 | ||
小学校から矯正を始めるとお得なお話し

大人の矯正治療について
「大人矯正」の特徴は3つあります。
@一生自分の歯を守るためには歯磨きしやすいことが大変有利です。毎日の歯磨きのときにやっと磨けるよりも、サラッと歯ブラシ1本でキレイになるのでは、10年後、20年後に大きな開きが出ます。
A歯並びがキレイなことは相手に好印象を与えます。人間中身が一番大事だと思いますが、見た目も大事です。中身は見えませんので、第1印象はほとんど見た目だけです。歯並びで知らず知らずのうちに損をしているかもです。当院では目立たない、見えない、早く終わることを心がけて装置をお勧めしています。
B子供と違い、長年の虫歯、歯周病、悪い噛み合わせの悪影響を改善しながら治療なので、複雑になりがちです。長い間悪い状態が続いて、歯がなく、顎関節症が酷くなっている方も多いです。それを元の状態に戻し、新しい咬合を作っていかなければなりません。時間も費用もかかりますので、そこまで悪くなる前に治すのをお勧めします。
子供矯正は成長を有効活用して噛み合わせを完成できるように上手くもっていくことが大切です。一方大人矯正は、簡単な部分矯正から、虫歯、歯周病の問題があり、さらに歯が抜けて噛み合わせが崩壊している重症ケースまで、様々な問題を含みますので、治療計画の立案からゴールの設定まで、総合的な知識が要求されます。
現在予防歯科の考えが広まってきました。悪くなる前に良くしておけば、長い目で見るとお金や時間がお得ということです。その予防の一環として歯並びを治す方が多いです。
虫歯、歯周病から顎関節症、インプラント治療まで、トータルな治療に対応できるので安心です!
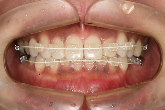
大人用に目立たない白いワイヤーや裏側矯正、インプラント矯正も行っています。

日本人の歯の色に合わせたブラケットとホワイトワイヤー

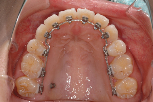
装置が見えない裏側矯正と矯正用インプラント
矯正の治療方法について
- Q1.何歳まで矯正治療できますか
- A.ひどい歯周病でなければ何歳でも可能です。
- Q2.治療期間はどれくらいですか。
- A.部分矯正のような軽度なものなら半年くらいできれいになります。
全顎的な治療でも1年半から2年前後です。 - Q3.どのくらいの間隔で通院するのですか。
- A.月に1回です。
- Q4.費用はどれくらいかかりますか。
- A.部分矯正が20万円くらいからです。全顎矯正だと90万円くらいかかります。
- Q5.痛みはありますか。
- A.多少ありますが、皆さんすぐに慣れるそうです。
- Q6.虫歯になりやすいですか。
- A.大人の方はあまり心配いりません。
- Q7.歯磨きは難しいですか。
- A.丁寧に磨いてもらえば大丈夫です。
大人矯正Q&A
以前の矯正は装置部分が目立ってしまい精神的にも肉体的にも患者さんにとってやさしいものではありませんでした。
これにより歯並びは気になるけどあの装置長期間つけるのは・・・と矯正治療を諦めてしまった方は意外と多いのではないでしょうか?
舌側矯正は外側につける装置に比べ、症状によっては治療期間が短い場合があります。
装着時の違和感は外側矯正では頬と唇に感じますが、舌側矯正は舌に当たることがあります。
普通は1週間から2週間で慣れてしまいます。
ごくまれに舌側矯正に適さない方もいらっしゃいますので、どのシステムが最適かは専門医が丁寧にご相談に応じます。
歯並びの矯正は、健康と美しさを取り戻す為に必要なことでもあります。
矯正はこんな方におススメです
以前から歯並びが気になっていたが成人し諦めていた方や装置の痛み、不快感や見た目の問題で 敬遠されていた方などに特にお勧めです。
またインプラントをお考えの方には歯のなくなった部の回復と歯並びとかみ合わせをトータルで回復する「矯正インプラントトータルケア」をお勧めいたします
詳しくは担当医またはお電話でもご相談ください。
治療スケジュール
治療の全てにおける始まりはまずカウンセリングとディスカッションです。矯正治療も同様です。
十分な検討を行い患者様個々の方法と期間、料金を提案致します。
ご納得頂けた所から治療が始まります。お仕事や習い事などの個々のスケジュールにも対応した形で治療進めますのでご相談ください。勿論矯正相談だけでも受け付けております。
矯正治療料金
| 矯正相談料 | 無 料 |
| 検査・診断料 | 価格: 30,000円 |
| 永久歯交換前矯正治療費(1期治療) | 価格:300,000円 |
| 永久歯交換後矯正治療費(2期治療) | 価格:+500,000円 |
| 成人矯正治療費 | 価格:800,000円 |
| 舌側(裏側)矯正治療費 | 価格:1,000,000円 |
| 調整料/回 | 価格:5,000円 |
